Dental Implants at Arora Dental Clinic
Missing teeth can affect more than just your appearance — they can impact how you eat, speak, and feel about yourself. At Arora Dental Clinic Implant & Orthodontic Centre, we understand that a complete, natural-looking smile can change your life. That’s why we offer advanced dental implant solutions designed to restore not just your teeth but your confidence, comfort, and quality of life.







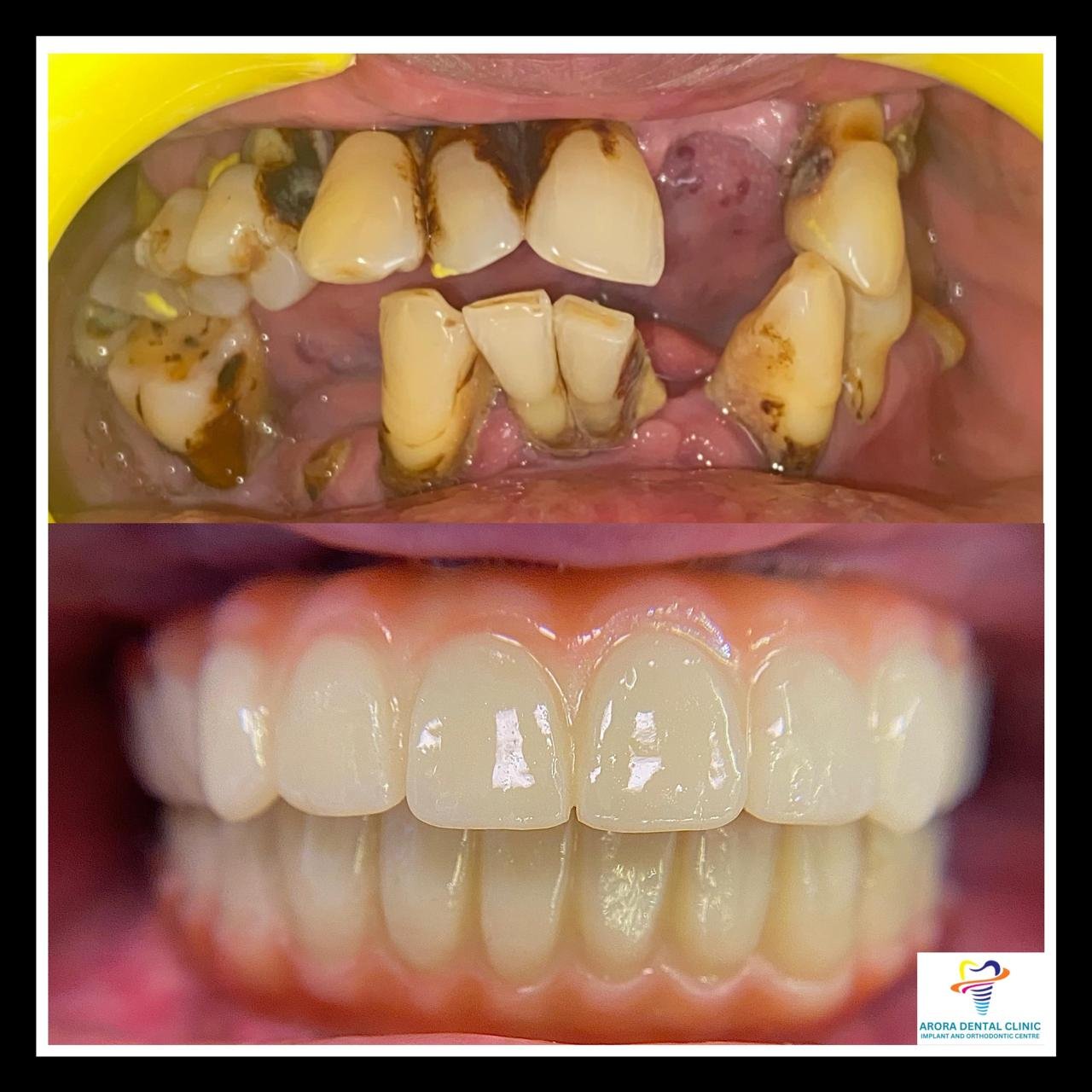
Rediscover the Confidence to Smile, Eat, and Live Freely Again
Missing teeth can affect more than just your appearance — they can impact how you eat, speak, and feel about yourself. At Arora Dental Clinic Implant & Orthodontic Centre, we understand that a complete, natural-looking smile can change your life. That’s why we offer advanced dental implant solutions designed to restore not just your teeth but your confidence, comfort, and quality of life.
Led by Dr. Sandeep Arora, Diplomate, Academy of Oral Implantology and PG in Orthodontics (New York University), our clinic brings over two decades of experience and state-of-the-art implant technology to deliver precise, long-lasting, and aesthetically flawless results.
Whether you’re missing a single tooth, multiple teeth, or a full arch, our customized implant treatments can help you smile with ease once again.
What Are Dental Implants?
Dental implants are artificial tooth roots made of biocompatible titanium or zirconia that are surgically placed into your jawbone. Once integrated with the bone (a process called osseointegration), the implant becomes a strong foundation for replacement teeth such as crowns, bridges, or dentures.
Each implant mimics the structure of a natural tooth — providing unparalleled stability, functionality, and aesthetics.
At Arora Dental Clinic, our implant procedures are planned using 3D digital scans, CBCT imaging, and computer-guided surgery to ensure precision and safety.
Why Choose Dental Implants?
Dental implants are widely regarded as the gold standard for tooth replacement — and for good reason. They offer benefits far beyond what dentures or bridges can provide.
1. Look and Feel Natural
Implants are designed to blend seamlessly with your existing teeth. Once restored with a crown, they look, feel, and function like your own natural teeth.
2. Restore Full Chewing Ability
Unlike removable dentures, implants allow you to enjoy all your favorite foods without discomfort or slipping. You can bite into apples, nuts, and other foods confidently.
3. Prevent Bone Loss
When a tooth is lost, the surrounding bone begins to deteriorate. Dental implants stimulate the bone, maintaining its strength and volume just like natural roots.
4. Long-Lasting Solution
With proper care, dental implants can last a lifetime. They’re more durable and cost-effective over the long term compared to other tooth replacement options.
5. Improve Speech and Comfort
Unlike ill-fitting dentures that may cause slurring or discomfort, implants remain firmly in place — helping you speak and smile naturally.
6. Preserve Facial Structure
Implants prevent the sunken look that often develops when teeth and jawbone are missing, helping you maintain a youthful facial appearance.
7. Boost Self-Confidence
A full, natural smile can transform your confidence and make you feel great in social and professional situations.
Types of Dental Implants at Arora Dental Clinic
At Arora Dental Clinic, we provide a full range of implant options to meet your individual needs.
1. Single Tooth Implant
Ideal for replacing a single missing tooth. One implant supports a single crown, restoring both function and appearance.
2. Multiple Tooth Implants
For patients missing several teeth in a row, implants can support a bridge — providing stability without affecting surrounding natural teeth.
3. Full Arch Implants (All-on-4 / All-on-6)
These innovative techniques replace an entire arch of missing teeth using just four or six implants. They provide a secure, natural-looking alternative to dentures.
4. Immediate Implants
In select cases, implants can be placed immediately after tooth extraction — reducing treatment time and preserving bone and gum tissue.
5. Mini Implants
These smaller-diameter implants are used in cases with limited bone volume or to stabilize dentures comfortably.
6. Implant-Supported Dentures
A perfect blend of affordability and stability — implant-supported dentures snap securely into place, eliminating the inconvenience of traditional removable dentures.
The Dental Implant Process
At Arora Dental Clinic, our implant treatment follows a systematic, patient-centered approach. Every case is carefully planned and executed with precision to ensure comfort, safety, and outstanding results.
Step 1: Initial Consultation and Evaluation
Your journey begins with a comprehensive dental and medical evaluation by Dr. Sandeep Arora. We use digital X-rays, CBCT scans, and intraoral assessments to determine your bone density, gum health, and overall suitability for implants.
Step 2: Treatment Planning
We create a customized treatment plan tailored to your needs. This includes a digital 3D simulation showing implant placement and the final restoration design.
Step 3: Implant Placement
The implant is surgically inserted into the jawbone under local anesthesia (or sedation, if needed). This minimally invasive procedure is painless and precise, thanks to our computer-guided technology.
Step 4: Healing and Osseointegration
Over the next 3–6 months, the implant integrates with the bone, creating a strong, stable foundation for your new tooth.
Step 5: Abutment Placement
Once healing is complete, a small connector called an abutment is attached to the implant. This will hold your new crown or bridge securely in place.
Step 6: Final Restoration
A custom-designed dental crown, bridge, or denture is fabricated to match the color, shape, and alignment of your natural teeth. Once attached, your new smile is complete!
Advanced Technology for Precision and Comfort
At Arora Dental Clinic, we invest in world-class technology to deliver the highest standard of implant dentistry.
Our clinic is equipped with:
- 3D CBCT Imaging: Provides detailed bone and nerve mapping for accurate planning.
- Intraoral Scanners: For digital impressions — no messy molds required.
- Computer-Guided Surgery: Ensures optimal implant positioning with minimal discomfort.
- High-Quality Implant Systems: We use globally trusted brands for long-term success.
Our commitment to precision ensures faster recovery, enhanced comfort, and predictable results.
Who Is a Candidate for Dental Implants?
Most adults in good general and oral health can be candidates for dental implants. You may be an ideal candidate if you:
- Have one or more missing teeth
- Have healthy gums and adequate bone density
- Are free from uncontrolled chronic conditions (like diabetes)
- Don’t smoke or are willing to quit during healing
- Want a permanent, natural solution for tooth loss
Even if you’ve been told you don’t have enough bone, we offer bone grafting and sinus lift procedures to make implants possible.
Bone Grafting and Sinus Lift Procedures
When the jawbone lacks sufficient volume, bone grafting may be necessary before implant placement. This procedure involves adding bone material to strengthen the jaw and ensure proper implant support.
For upper molar regions, a sinus lift may be performed to raise the sinus membrane and create space for new bone.
These advanced techniques make implants possible even for patients who’ve been missing teeth for many years.
Caring for Your Dental Implants
Just like natural teeth, dental implants require good oral hygiene and regular professional care.
Here are some tips:
- Brush twice daily with a soft toothbrush.
- Floss or use interdental brushes around the implant area.
- Schedule regular dental checkups and cleanings.
- Avoid smoking to maintain implant health.
- Protect your implants from trauma or grinding with a night guard if needed.
With proper care, your implants can last 20 years or more — often a lifetime.
Dental Implants vs. Other Tooth Replacement Options
| Feature | Dental Implants | Dental Bridge | Dentures |
|---|---|---|---|
| Durability | 15+ years (often lifetime) | 7–10 years | 5–7 years |
| Comfort | Feels natural | Can cause discomfort | May slip or irritate gums |
| Bone Preservation | Prevents bone loss | Doesn’t prevent bone loss | Accelerates bone loss |
| Aesthetics | Highly natural | Good | Moderate |
| Maintenance | Easy | Moderate | High |
Clearly, dental implants offer superior comfort, longevity, and aesthetics compared to other options.
Benefits of Dental Implants at Arora Dental Clinic
Choosing Arora Dental Clinic & Orthodontic Centre means trusting your smile to one of the region’s most experienced and respected implantologists.
Why Patients Choose Us:
- 23+ Years of Clinical Experience
- Diplomate, Academy of Oral Implantology
- PG in Orthodontics, New York University
- State-of-the-Art 3D Imaging and Digital Planning
- Pain-Free and Precise Implant Surgery
- Personalized Treatment Plans
- Multi-City Clinics in Chandigarh, Panchkula, and Morinda
- Comprehensive Aftercare and Support
We pride ourselves on combining science, skill, and artistry to create smiles that look and feel truly natural.
Frequently Asked Questions
1. Is the dental implant procedure painful?
2. How long do implants last?
3. Are dental implants safe?
4. How much do implants cost?
5. What if I don’t have enough bone for implants?
Ready to Book Your Appointment?
Contact us today to schedule your visit and take the first step toward a healthier smile.