Teeth Whitening at Arora Dental Clinic
Your smile is one of the first things people notice about you — and a radiant, white smile can leave a lasting impression. However, over time, factors like aging, diet, smoking, and certain medications can cause teeth to become dull or stained.


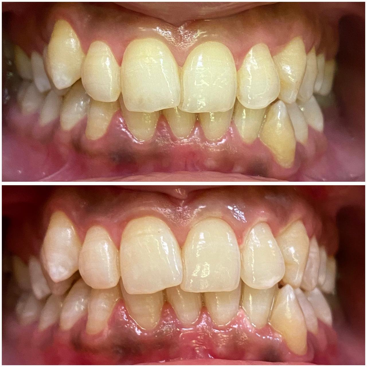
Brighten Your Smile with Safe and Advanced Whitening Treatments
Your smile is one of the first things people notice about you — and a radiant, white smile can leave a lasting impression. However, over time, factors like aging, diet, smoking, and certain medications can cause teeth to become dull or stained.
At Arora Dental Clinic Implant & Orthodontic Centre, we specialize in professional teeth whitening treatments that restore the natural brilliance of your smile safely and effectively. Led by Dr. Sandeep Arora (Diplomate, Academy of Oral Implantology; PG Orthodontics, New York University) and Dr. Shalini Arora (MDS Orthodontics; Invisalign Provider), our team combines years of expertise with cutting-edge technology to deliver whiter, brighter smiles that radiate confidence.
What Is Teeth Whitening?
Teeth whitening is a cosmetic dental procedure that lightens the natural color of your teeth without damaging the enamel. It effectively removes stains and discoloration caused by lifestyle habits, aging, and dietary factors.
At Arora Dental Clinic, we offer both in-office and at-home whitening solutions tailored to your needs, ensuring visible results with minimal sensitivity.
Common Causes of Tooth Discoloration
Your teeth can lose their brightness over time due to several reasons:
1. Food and Beverages
Coffee, tea, red wine, and soft drinks contain chromogens — pigmented molecules that cling to tooth enamel.
2. Tobacco Use
Smoking or chewing tobacco stains teeth, leaving them yellow or brown over time.
3. Aging
As you age, the outer enamel layer wears down, revealing the yellowish dentin underneath.
4. Poor Oral Hygiene
Inadequate brushing and flossing allow plaque and stains to accumulate on the tooth surface.
5. Medications
Certain antibiotics (like tetracycline) or excessive fluoride exposure can cause intrinsic discoloration.
6. Genetics
Some people naturally have thicker or brighter enamel, while others have teeth that appear slightly darker.
Understanding the cause of discoloration helps us choose the most effective whitening treatment for you.
Types of Teeth Whitening at Arora Dental Clinic
We offer a range of professional whitening options designed for different lifestyles and sensitivity levels.
1. In-Office Professional Teeth Whitening
Our in-office whitening is the fastest, most effective way to achieve a dramatically brighter smile — often in just one visit!
Procedure Overview:
- Pre-Whitening Examination:
We examine your teeth and gums to ensure they’re healthy for whitening. - Cleaning:
Plaque and tartar are removed to prepare for even whitening. - Protection:
A protective gel is applied to your gums and soft tissues. - Whitening Gel Application:
A professional-grade bleaching agent (usually hydrogen or carbamide peroxide) is applied to the teeth. - Activation:
The gel is activated using LED or laser light to enhance the whitening process. - Rinse and Results:
After 30–45 minutes, your teeth appear several shades lighter instantly.
Benefits of In-Office Whitening:
- Immediate results
- Safe and dentist-supervised
- Customizable intensity for comfort
- Ideal for busy professionals or special occasions
Most patients achieve a smile up to 8 shades whiter in a single session.
2. Take-Home Whitening Kits
For those who prefer gradual whitening at their convenience, we offer custom take-home whitening trays.
Procedure Overview:
- Our dentist takes impressions of your teeth to create personalized trays.
- You’ll receive professional-grade whitening gel and detailed usage instructions.
- Wear the trays daily for 30–60 minutes over 10–14 days.
Benefits of Take-Home Whitening:
- Convenient and easy to use
- Gradual, controlled results
- Less sensitivity due to customized trays
- Long-lasting brightness when combined with good oral care
3. Laser Teeth Whitening
Laser whitening is the most advanced whitening technique available. Using precision laser energy, it accelerates the whitening process while reducing sensitivity.
Procedure Overview:
- A whitening gel is applied to the teeth.
- The laser light activates the gel, breaking down stain molecules.
- The result is a whiter, more radiant smile in under an hour.
Advantages:
- Instant, dramatic results
- Minimal sensitivity
- Safe for enamel
- Long-lasting brightness
Who Is a Good Candidate for Teeth Whitening?
You’re likely an ideal candidate for teeth whitening if:
- Your teeth are healthy and free from cavities or gum disease
- You have yellow or brown stains (extrinsic discoloration)
- You’re looking for a safe, non-invasive way to enhance your smile
However, whitening is not recommended for:
- Pregnant or breastfeeding women
- Children under 16
- Patients with tooth decay or exposed roots
- People with dental restorations like crowns or veneers (which don’t whiten)
At Arora Dental Clinic, we conduct a full evaluation to ensure your whitening procedure is safe and effective.
The Step-by-Step Whitening Experience at Arora Dental Clinic
We believe whitening should be as comfortable as it is transformative. Here’s what to expect during your appointment:
Step 1: Consultation and Shade Assessment
We discuss your aesthetic goals and measure your current tooth shade. This helps us track the improvement and customize the treatment strength.
Step 2: Professional Cleaning
We perform a scaling and polishing session to remove surface plaque and tartar, ensuring even whitening.
Step 3: Whitening Application
The professional gel is carefully applied to your teeth, avoiding contact with gums.
Step 4: Light Activation
Our LED or laser system accelerates whitening while minimizing exposure time.
Step 5: Rinse and Reveal
After treatment, we rinse your mouth and compare your post-whitening shade — the results are instant and striking!
Step 6: Post-Treatment Care
We apply a fluoride varnish to reduce sensitivity and provide guidance on maintaining your brighter smile.
Benefits of Professional Teeth Whitening
1. Instant and Noticeable Results
Unlike over-the-counter products, our professional whitening delivers visible results in one session.
2. Safe and Controlled Procedure
Every treatment is supervised by dental experts, ensuring no damage to enamel or gums.
3. Boosts Confidence and Self-Esteem
A whiter smile enhances your appearance and helps you feel more self-assured in social and professional settings.
4. Long-Lasting Effects
With proper oral hygiene and maintenance, your brighter smile can last for months or even years.
5. Customizable Treatments
We tailor the strength and duration based on your tooth sensitivity and desired outcome.
How to Maintain Your Whitened Smile
After whitening, maintaining your results is key. Here are some expert tips:
1. Avoid Staining Foods and Drinks
Limit coffee, tea, red wine, and colored sodas. If you do consume them, rinse your mouth afterward.
2. Quit Smoking
Tobacco stains can quickly undo whitening results — quitting helps maintain brightness and improves overall health.
3. Practice Good Oral Hygiene
Brush twice daily with a whitening toothpaste and floss regularly.
4. Schedule Regular Dental Cleanings
Routine scaling and polishing sessions help keep your teeth stain-free.
5. Touch-Up Treatments
We offer affordable touch-up sessions every 6–12 months to maintain your ideal shade.
Teeth Whitening vs. Other Cosmetic Treatments
| Treatment | Purpose | Time Required | Results |
|---|---|---|---|
| Teeth Whitening | Removes stains, brightens enamel | 1–2 visits | Natural white smile |
| Veneers | Covers imperfections and discoloration | 2–3 visits | Instant, long-term result |
| Bonding | Corrects chips or stains | 1 visit | Natural finish |
| Crowns | Restores damaged or severely stained teeth | Multiple visits | Durable and aesthetic |
For mild to moderate discoloration, teeth whitening is the simplest and most cost-effective option.
Frequently Asked Questions
1. Is teeth whitening safe?
2. How long do the results last?
3. Does whitening cause sensitivity?
4. Can whitening damage enamel?
5. Can dental restorations be whitened?
Ready to Book Your Appointment?
Contact us today to schedule your visit and take the first step toward a healthier smile.